Tabla de contenidos
Alerta máxima: los cinco síntomas de ACV que un uruguayo no debe subestimar
Los accidentes cerebrovasculares (ACV) se mantienen como una de las principales causas de discapacidad y mortalidad a nivel global, un drama que en Uruguay también tiene una alta incidencia. La gravedad de estos eventos cobró mayor notoriedad tras casos mediáticos recientes, como los que afectaron a figuras internacionales como Donald Glover, Hailey Bieber o Jamie Foxx. Ante este panorama preocupante, el neurólogo Dr. Gurutz Linazasoro, del Hospital Policlínica Gipuzkoa, alertó en Hello Magazine sobre la importancia de identificar los cinco síntomas de ACV críticos que jamás deben ignorarse.
La detección temprana y una reacción inmediata son factores determinantes para evitar secuelas graves o incluso la muerte. El tiempo que transcurre entre la aparición de los cinco síntomas de ACV y la atención médica es, literalmente, tejido cerebral.

La terapia física y cognitiva es esencial para la recuperación tras un evento asociado a los cinco síntomas de ACV.
Qué es el ictus y por qué se produce un accidente cerebrovascular
El Dr. Linazasoro, en diálogo con el medio internacional, definió el accidente cerebrovascular (conocido técnicamente como ictus) como un evento en el cual una arteria o vaso sanguíneo cerebral se rompe o se bloquea, interrumpiendo abruptamente el flujo sanguíneo y provocando un daño cerebral irreparable. Según el especialista, la hipertensión arterial es la causa más frecuente de estos episodios, y es un factor de riesgo que los uruguayos deben controlar de cerca.
Sin embargo, hay otros factores que influyen en la aparición de los cinco síntomas de ACV y el posterior daño: malformaciones arteriovenosas, traumatismos craneoencefálicos, el natural envejecimiento y los trastornos de la coagulación. El uso de anticoagulantes y el deterioro progresivo de las arterias con la edad aumentan la vulnerabilidad, por lo que los controles médicos periódicos resultan indispensables para quienes presenten estos factores de riesgo.

La parálisis en un lado del cuerpo es un signo inequívoco y urgente de los cinco síntomas de ACV.
La diferencia entre ACV isquémico y hemorrágico
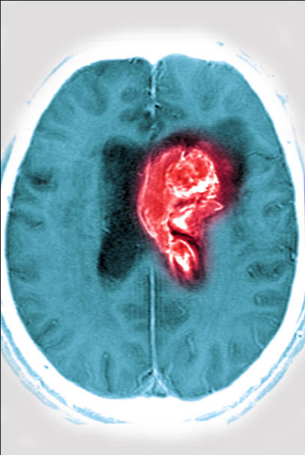
El neurólogo explicó que existen dos tipos principales de accidente cerebrovascular. El ACV hemorrágico —o hemorragia cerebral— es el resultado de la ruptura de una arteria cerebral, lo que provoca una acumulación de sangre. El ACV isquémico, por su parte, se produce por la obstrucción de una arteria, lo que impide la llegada de sangre a una zona del cerebro, matando así las neuronas por falta de oxígeno y nutrientes.
Ambos tipos comparten factores de riesgo comunes como el tabaquismo y la hipertensión, pero la diferencia radica en que requieren tratamientos completamente distintos. El Dr. Linazasoro remarcó la importancia de un diagnóstico preciso y oportuno para determinar el tipo de evento y aplicar la terapia más adecuada antes de que sea demasiado tarde.
Los cinco síntomas de ACV que exigen atención inmediata
Reconocer la alerta es el primer paso para salvar una vida. El Dr. Linazasoro compartió con Hello Magazine los cinco síntomas de ACV que constituyen una emergencia absoluta y jamás deben ser minimizados.
-
Dolor de cabeza repentino e intenso, distinto a cualquier dolor previo.
-
Pérdida abrupta de la capacidad de hablar o de comprender el lenguaje (afasia).
-
Debilidad o parálisis en un lado del cuerpo (cara, brazo o pierna).
-
Dificultad para caminar, acompañada de pérdida del equilibrio o coordinación.
-
Entumecimiento o una sensación de hormigueo intensa en alguna parte del cuerpo.
El especialista fue enfático: la aparición de cualquiera de estos signos requiere acudir de inmediato a un centro médico, ya que la velocidad de reacción es crucial para el pronóstico y el futuro del paciente.

La terapia física y cognitiva es esencial para la recuperación tras un evento asociado a los cinco síntomas de ACV.
Secuelas y la importancia de la rehabilitación
Las consecuencias de un accidente cerebrovascular dependen directamente de la gravedad del daño, del tiempo transcurrido hasta la atención y del área específica del cerebro afectada. Entre las secuelas más habituales, según detalla el experto, se encuentran la debilidad o parálisis persistente, dificultades en el habla y el lenguaje, problemas cognitivos como alteraciones de memoria y atención, e incluso inestabilidad emocional y dolor crónico.
La recuperación, en la mayoría de los casos, es prolongada y exige un enfoque multidisciplinario que incluye fisioterapeutas, logopedas y psicólogos. La rehabilitación desempeña un papel vital en mejorar la calidad de vida y ayudar a recuperar las capacidades perdidas.
Prevención: la mejor herramienta contra los cinco síntomas de ACV
El diagnóstico temprano, generalmente a través de estudios de imagen como la tomografía o la resonancia magnética, es esencial para determinar el tratamiento adecuado. En casos extremos, se precisa neurocirugía para drenar hematomas y reducir la presión intracraneal. Sin embargo, el Dr. Linazasoro considera que la prevención es la herramienta más efectiva para reducir la incidencia de estos eventos y evitar la manifestación de los cinco síntomas de ACV.
“Llevar un estilo de vida saludable, controlar la presión arterial, evitar el tabaco y realizar chequeos médicos regulares son fundamentales para disminuir el riesgo”, recomendó el neurólogo. Esta visión es compartida por la Harvard Health Publishing, que refuerza la necesidad de la dieta balanceada, el ejercicio constante y el control de enfermedades crónicas para mantener protegida la salud cerebral.
Ante la amenaza constante de un ACV, que puede atacar sin aviso y dejar secuelas permanentes, ¿está la población uruguaya suficientemente informada sobre estos cinco síntomas de ACV, o el sistema de salud debería reforzar las campañas de concientización para garantizar una reacción inmediata que salve vidas?